Dr. Carlo Arcara
am
27.11.2025

Klinischer Fall: Ein Befestigungskomposit für alle Restaurationen im Seitenzahnbereich

Eingliederung mit 3M™ Scotchbond™ Universal Plus Adhäsiv und 3M™ RelyX™ Universal Befestigungskomposit

Restaurationen im Seitenzahnbereich stellen eine Herausforderung dar: Es stehen zahlreiche verschiedene Materialien zur Verfügung – sowohl in der Füllungstherapie als auch der Prothetik. In diesem klinischen Fallbeispiel stellte sich eine junge Patientin mit einer abgelösten Krone an Zahn 25 sowie zwei erneuerungsbedürftigen Versorgungen an den Zähnen 24 und 26 vor. In einem solchen Fall, in dem mehrere Zähne zu versorgen sind, sollte ein prothetischer Behandlungsansatz zumindest in Erwägung gezogen werden. Im vorgestellten Fall wurden adhäsive Teilrestaurationen aus Lithiumdisilikat sowie eine monolithische Krone aus Zirkoniumoxid in Betracht gezogen. Trotz der verschiedenen Materialien und Indikationen erfolgte die Eingliederung mit nur einem Befestigungskomposit.

Ausgangssituation und Trockenlegung mit Kofferdam.
Situation nach Entfernung des Amalgams am ersten Molaren sowie des Komposits am ersten Prämolaren und Reinigung der Kavitäten.
CAD/CAM-gefertigte Teilrestaurationen aus Lithiumdisilikat auf einem 3D-gedruckten Modell.
Vorbehandlung mit Flusssäure, Spülen mit Wasser, Applikation von 3M™ Scotchbond™ UniversalPlus Adhäsiv und 3M™ RelyX™ Universal Befestigungskomposit.
  Adhäsiv eingegliederte Teilrestaurationen.
Präparation mit optimal ausgearbeiteter Präparationsgrenze an Zahn 25.
Monolithische Krone aus Zirkoniumoxid in zwei unterschiedlichen Ansichten.
Vorbehandlung: Sandstrahlen der Klebeflächemit 30 µm Al2O3, Reinigung mit Ethanol und Applikation von 3M™ RelyX™ Universal Befestigungskomposit.
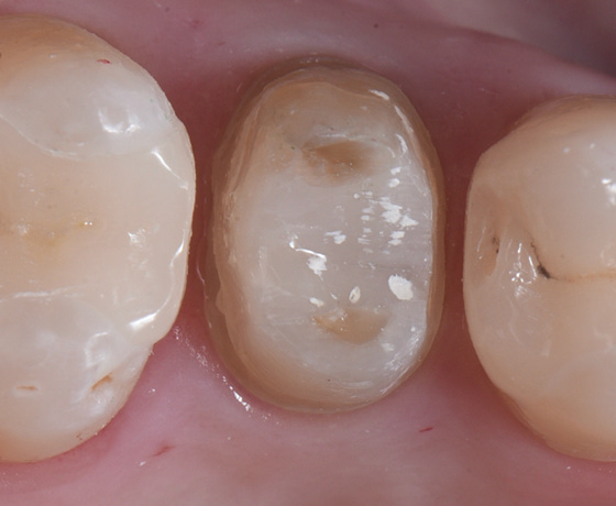
Behandlungsergebnis nach der definitive Eingliederung.

Eine komplette Produktbeschreibung entnehmen Sie bitte der Gebrauchsanweisung (IFU). Ergebnisse können abweichen.

Verwandte Produkte von Solventum:

3M™ RelyX™ Universal Befestigungskomposit

  • Universelles dualhärtendes Befestigungskomposit für praktisch alle selbstadhäsiven und adhäsiven Indikationen
  • Weitere Erhöhung der Haftfestigkeit durch Vorbehandlung der Oberflächen mit 3M™ Scotchbond™ Universal Plus Adhäsiv
  • Schnelle und einfache Überschussentfernung
  • Einzigartige selbstverschließende Spritze –hygienischer und leichter zu reinigen als herkömmliche Automix-Spritzen

3M™Scotchbond™ Universal Plus Adhäsiv 

  • Zusätzliche Röntgenopazität
  • Haftung an und Versiegelung von kariös verändertem, remineralisierbarem Dentin*
  • Verbesserte Haftung an Zahnhartsubstanz und Restaurationsmaterialien inklusive Glaskeramik
  • Vollständige Kompatibilität mit dual- und selbsthärtenden Kompositen ohne separaten Aktivator
  • Frei von BPA-Derviaten wie BisGMA

*Interne Daten von Solventum

Über Dr. Carlo Arcara

 

Dr. Carlo Arcara schloss 2010 sein Studium der Zahnmedizin an der Universität Mailand Bicocca ab und promovierte 2014 in experimenteller Parodontologie. Er besuchte verschiedene Weiterbildungskurse rund um Zahnersatz, Implantologie, Implantatchirurgie und Parodontologie. Zudem besuchte er Fortbildungen zum Thema Digital Smile Design. Seit 2013 ist erTutor des Jahreskurses für Prothetik von Dr. Dario Castellani. Er arbeitet in seiner eigenen privaten Zahnarztpraxis in Sizilien, Italien.

In seiner Freizeit treibt er gerne Sport, baut Cafe Racer-Motorräder und verbringt Zeit mit Familie und Freunden.