Dr. Maria Cura studierte Zahnmedizin an der Universidad Rey Juan Carlos (URJC) in Madrid, Spanien, wo sie die Abschlüsse DDS und PhD mit internationaler Anerkennung erhielt. Sie ist Spezialistin für ästhetische restaurative Zahnheilkunde an derselben Universität und hat zudem ein postgraduales Studium in Prothetik abgeschlossen (SCOE).
Aktuell ist sie als Hochschullehrerin in Teilzeit an der Universidad Rey Juan Carlos tätig. Dr. Cura ist Autorin mehrerer Forschungsartikel in internationalen Fachzeitschriften mit Impact-Index. Sie leitet regelmäßig Weiterbildungen im Bereich ästhetische Zahnheilkunde und hat mehrere Auszeichnungen für ihre Forschung und klinische Tätigkeit erhalten.
Sie betreibt zudem eine Praxis für ästhetische restaurative Zahnheilkunde in Madrid (Spanien).
Fallbeispiel
Kleine Restaurationen im Bereich der Inzisalkante sind extrem herausfordernd. Da der verfügbare Platz sehr begrenzt ist, gestaltet sich der Einsatz verschiedener Opazitäten schwierig. Im Sinne der Vereinfachung erscheint die Verwendung einer Einfarb-Technik ideal. Jedoch sind zwingend gute ästhetische Ergebnisse zu erzielen.
Eine 21-jährige Patientin bei guter Gesundheit stellte sich vor, weil sie mit ihrem Lächeln unzufrieden war:
„Ich hätte gern ein schöneres Lächeln. Meine seitlichen Schneidezähne sehen ausgefranst aus, der Eckzahn ist zu schnabelförmig. Die Opazität von 3M™ Filtek™ Easy Match passt sich der natürlichen Umgebung an und ist genau dort, wo ich es benötige, so transluzent wie Schmelz und so opak wie Dentin."
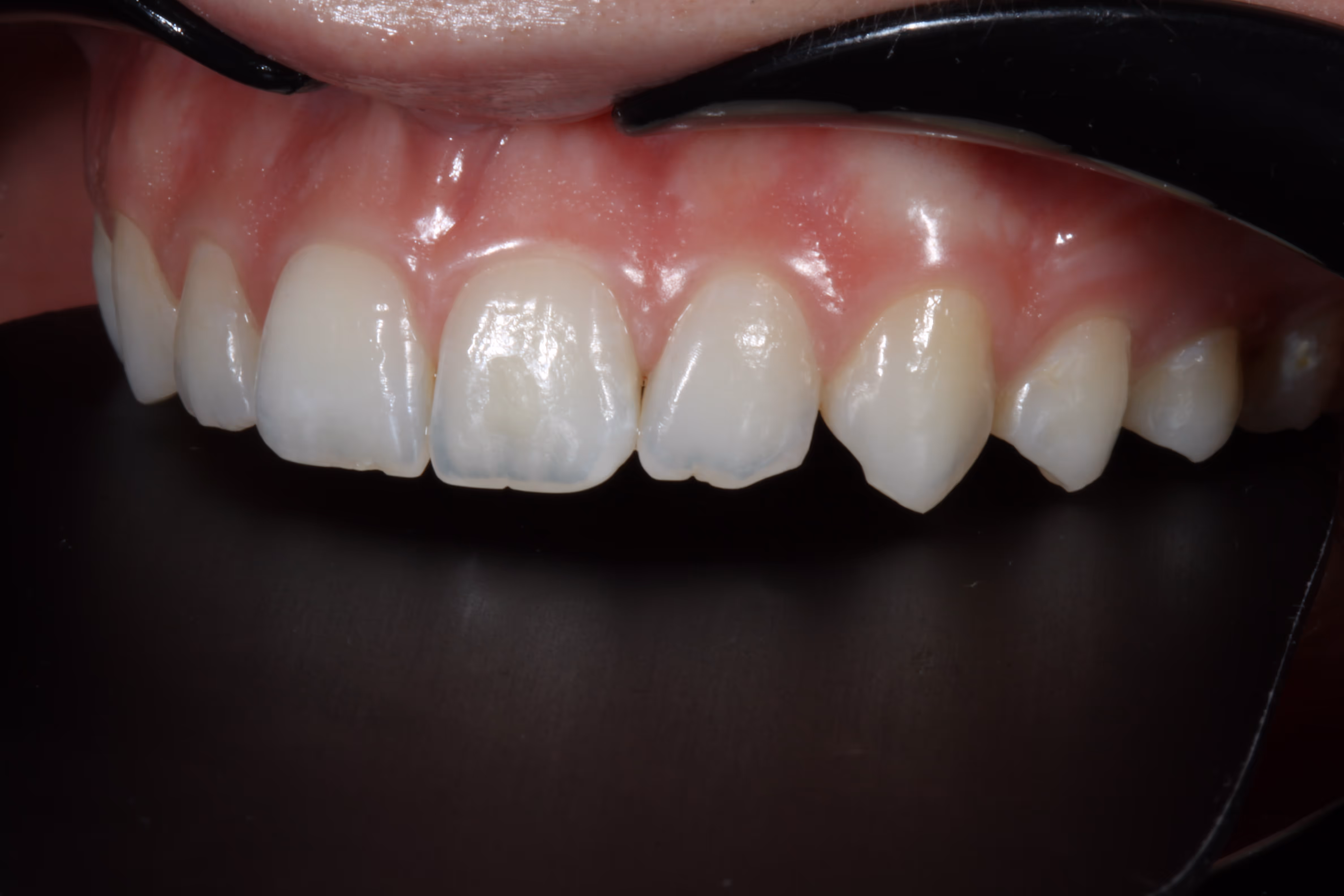
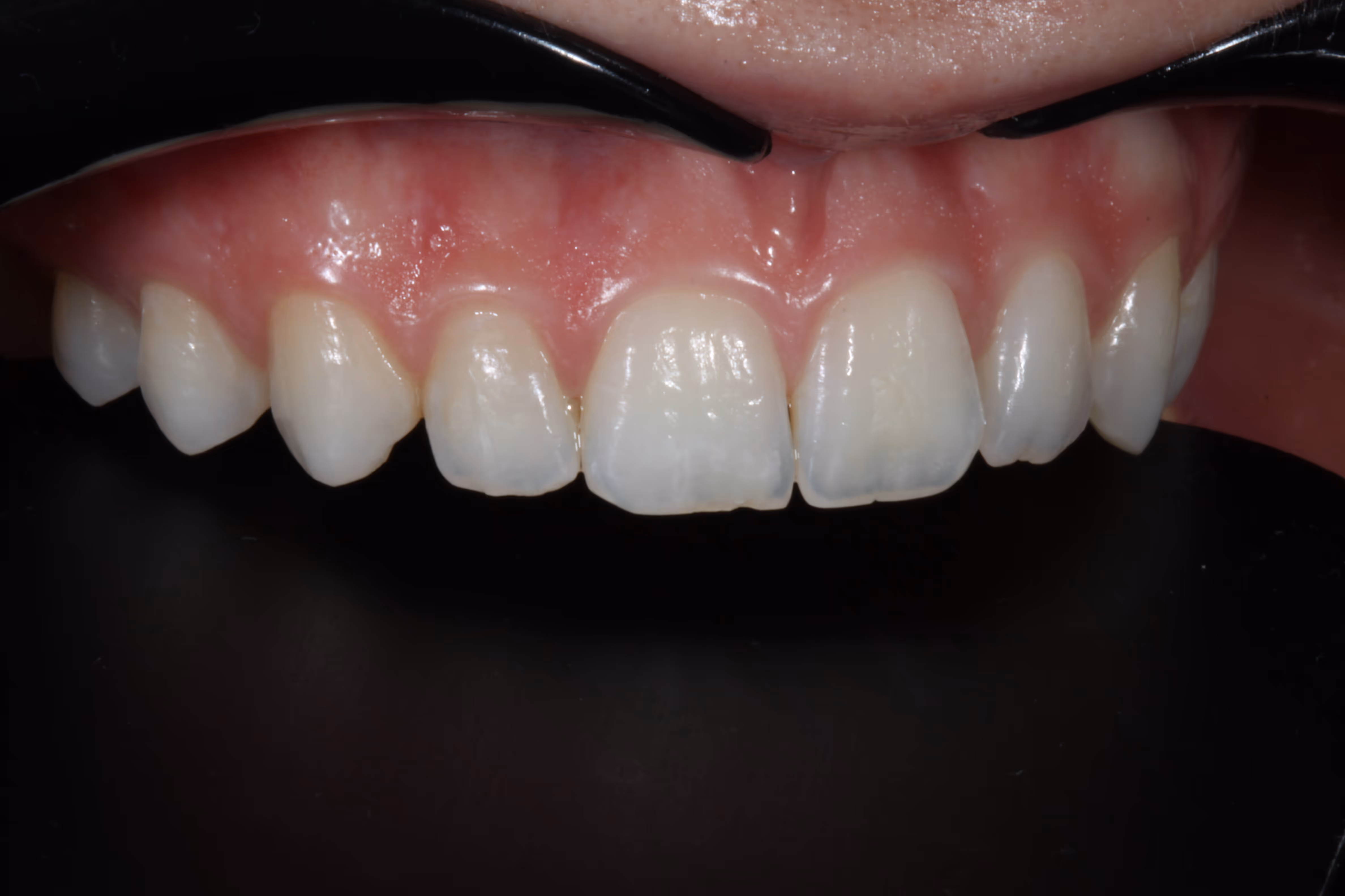
Ausgangssituation.
Ansicht von bukkal. Anatomie der Frontzähne.
Anicht von bukkal. Anatomie des Zahnes 12.
Ansicht von bukkal. Anatomie der Zähne 22 und 23.
Farbbestimmung.
Mithilfe einer gewöhnlichen Aufnahme und einer Aufnahme mit Polfilter zeigt sich: Bright fügt sich dank des höheren Farbwertes besser in die Umgebung ein.
Isolierung mit Kofferdam.
Biofilmentfernung. Entfernung des Biofilms mit Bimssteinpaste und einer Prophylaxebürste.
Ätzen mit Phosphorsäure-Gel. Auf Schmelzoberfläche 15 Sekunden einwirken lassen.
Anwendung von 3M™ Scotchbond™ Universal Plus Adhäsiv. Auf der Oberfläche 20 Sekunden einreiben, mit Luft verblasen bis zur vollständigen Evaporation des Lösungsmittels und final 10 Sekunden lichthärten.
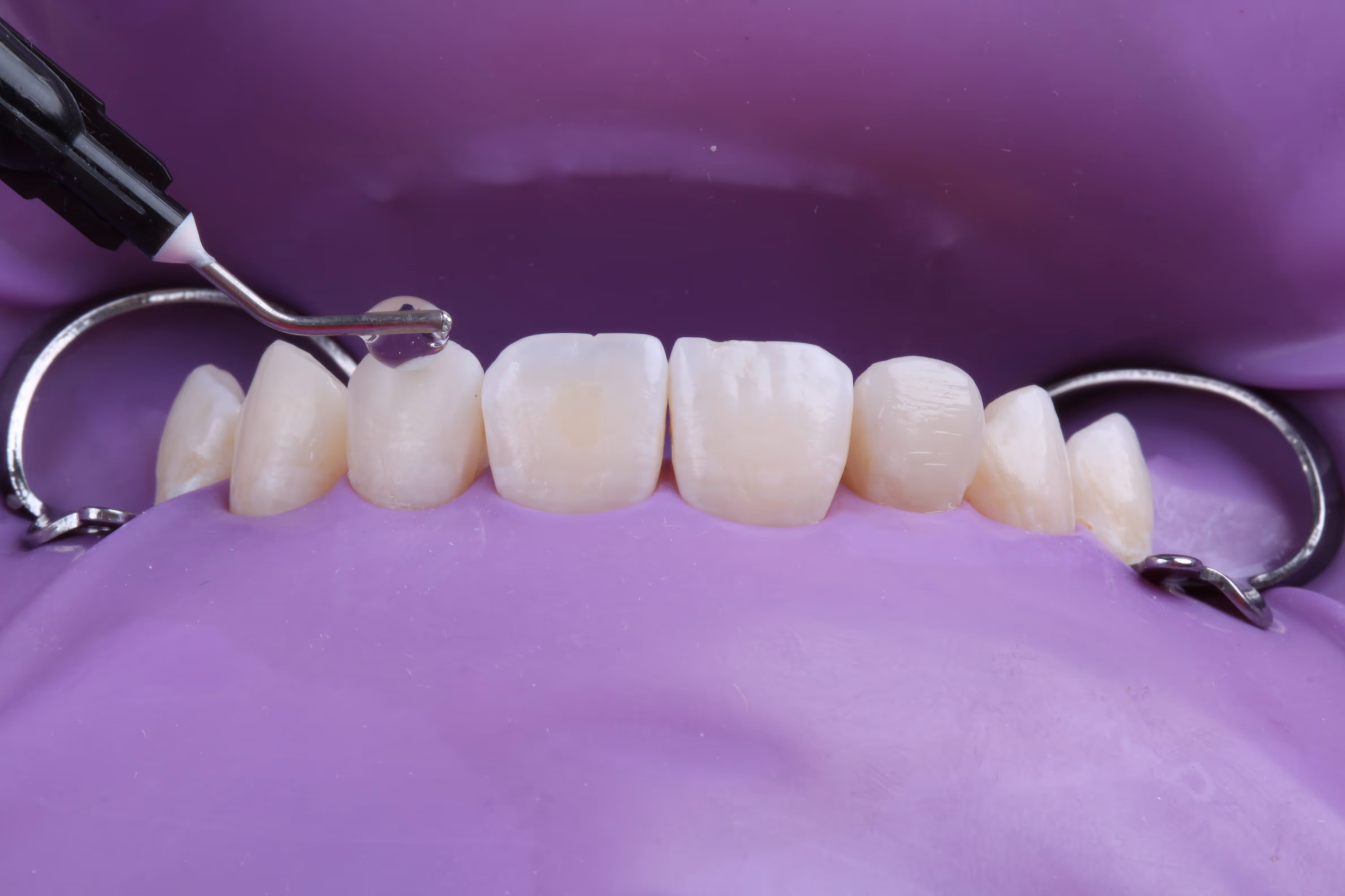
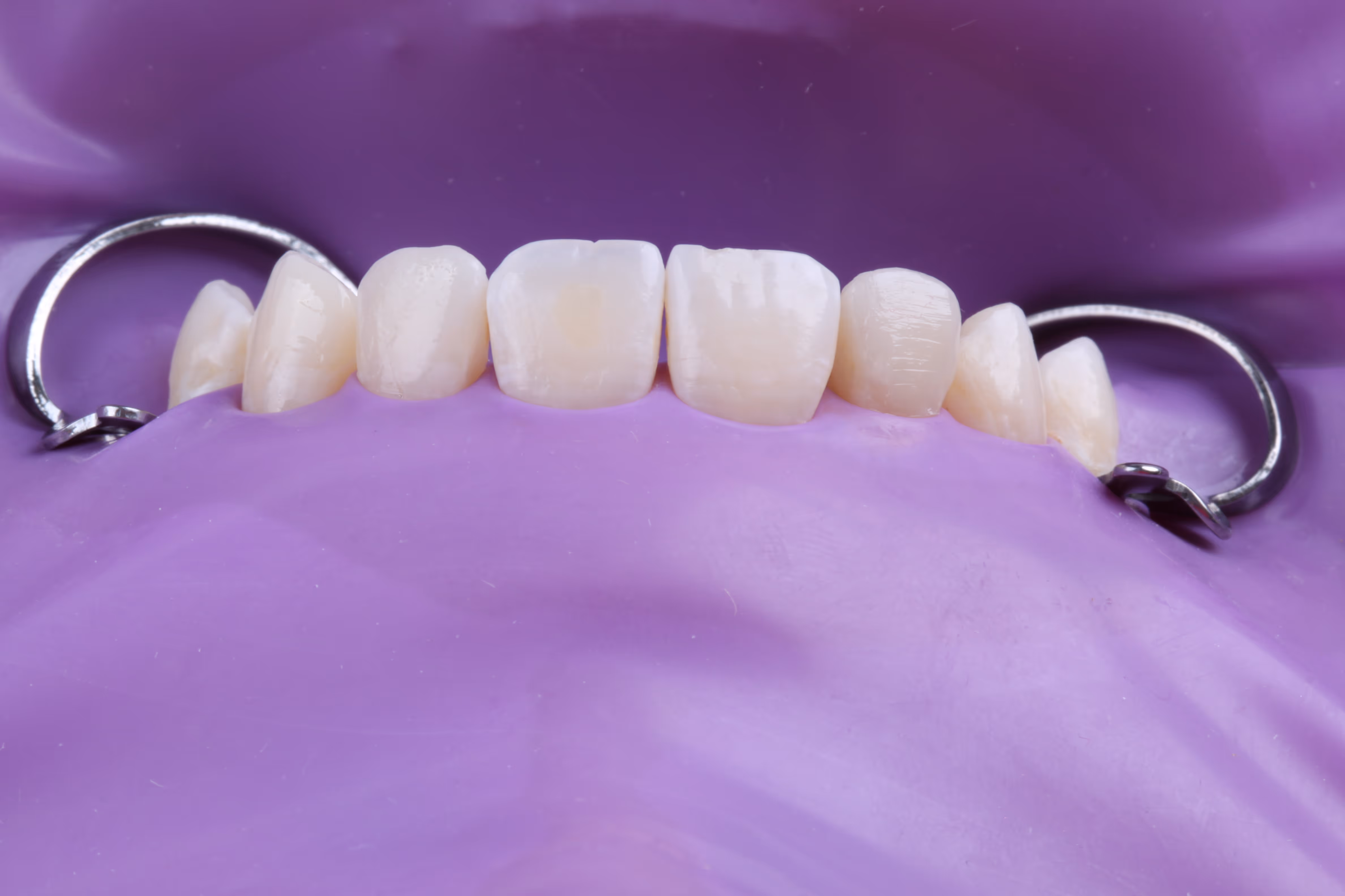
Applikation von 3M™ Filtek™ Easy Match, Farbton Bright.
Anatomische Modellation des Zahns 12 mit einem Spatel.
Mit einem Pinsel lässt sich die Form gut optimieren und das Komposit am Übergang zum Zahn dünn ausstreichen.
Ausgearbeitete Restaurationen vor der Politur.
Applikation von Glyceringel vor Lichthärtung; so wird die Bildung einer Sauerstoffinhibitionsschicht verhindert.
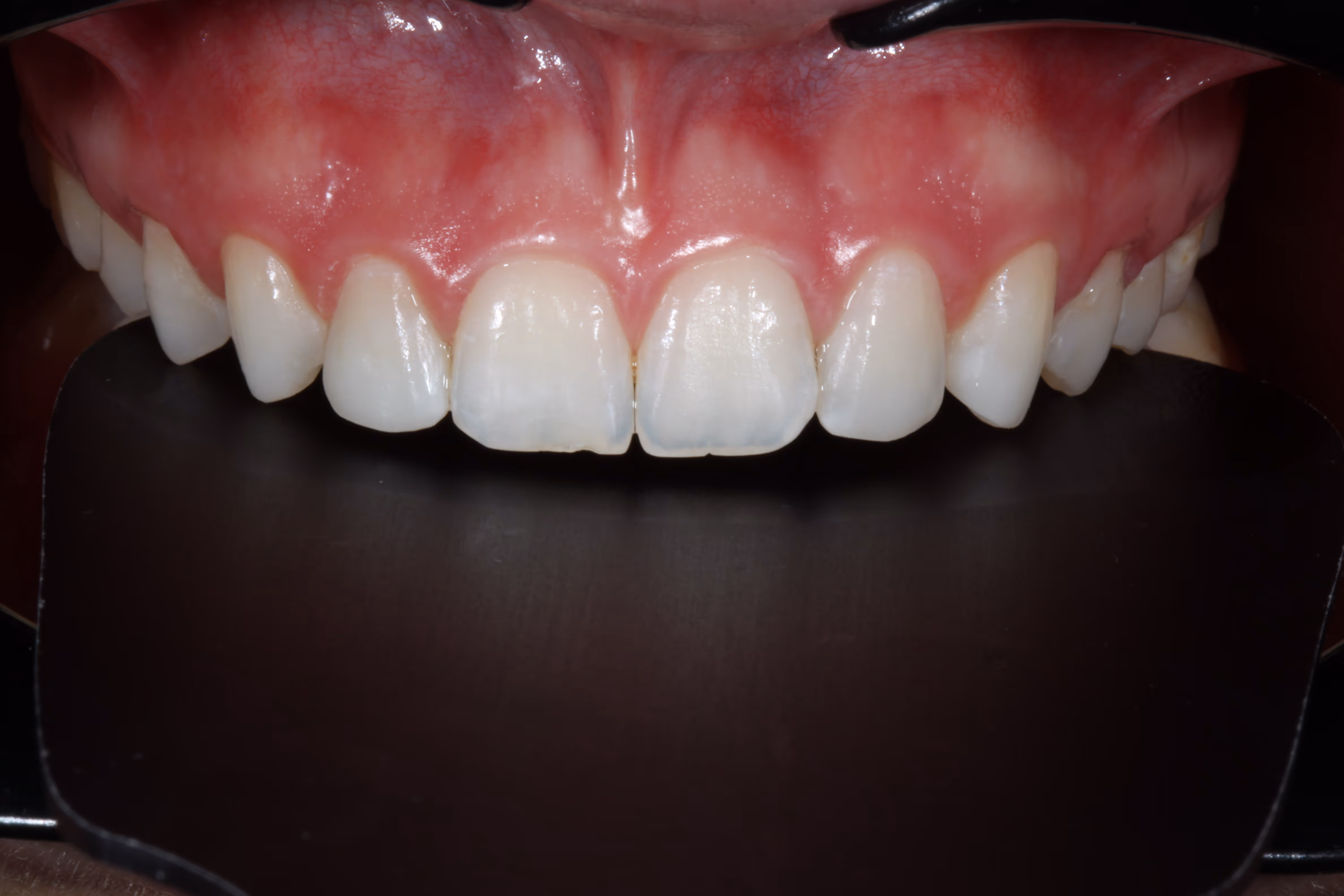
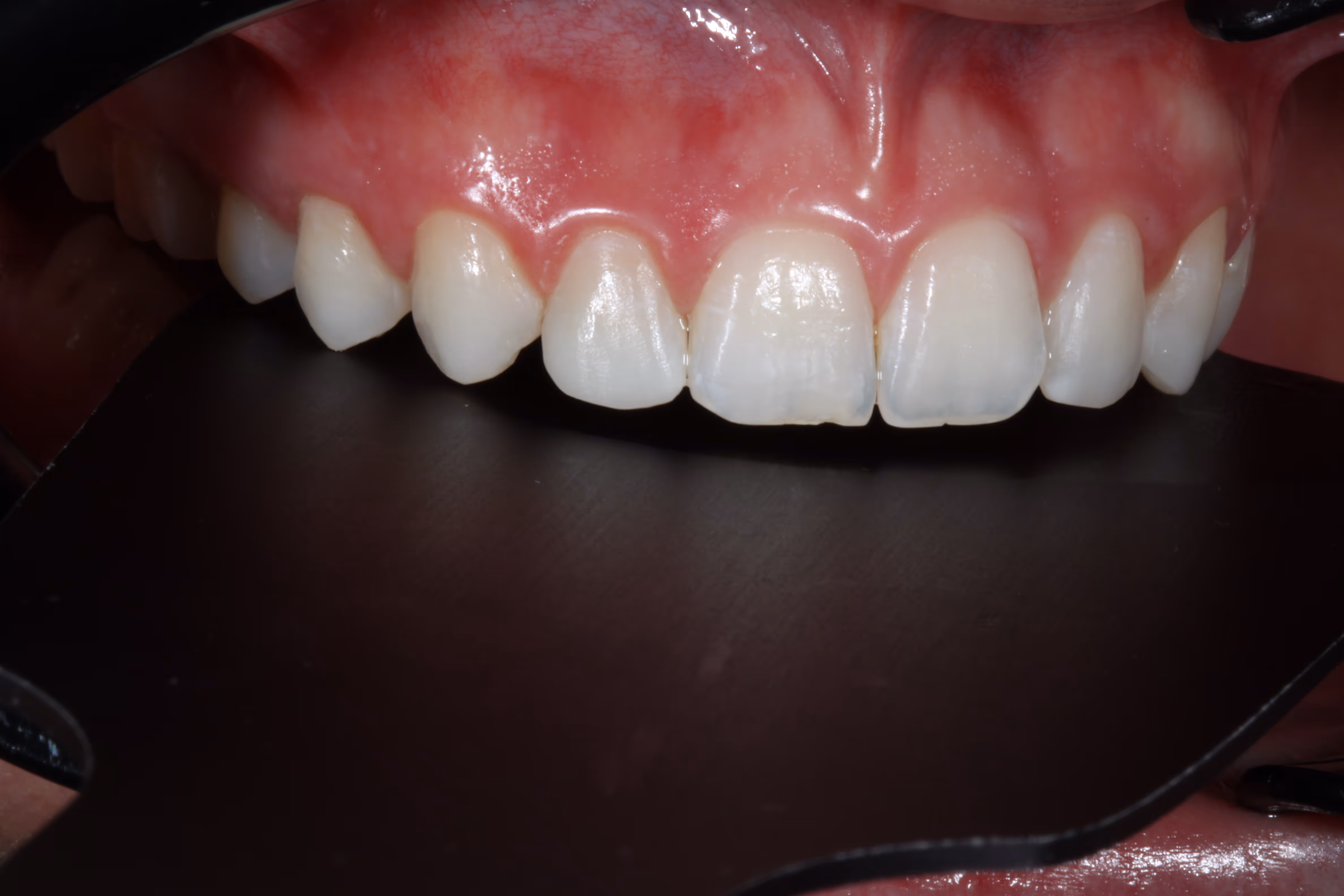
Behandlungsergebnis nach Ausarbeitung und Politur mit 3M™ Sof-Lex™ Scheiben und Rädern.
Definitive Restaurationen: Ansicht von lateral.
Definitive Restaurationen: Ansicht von lateral.
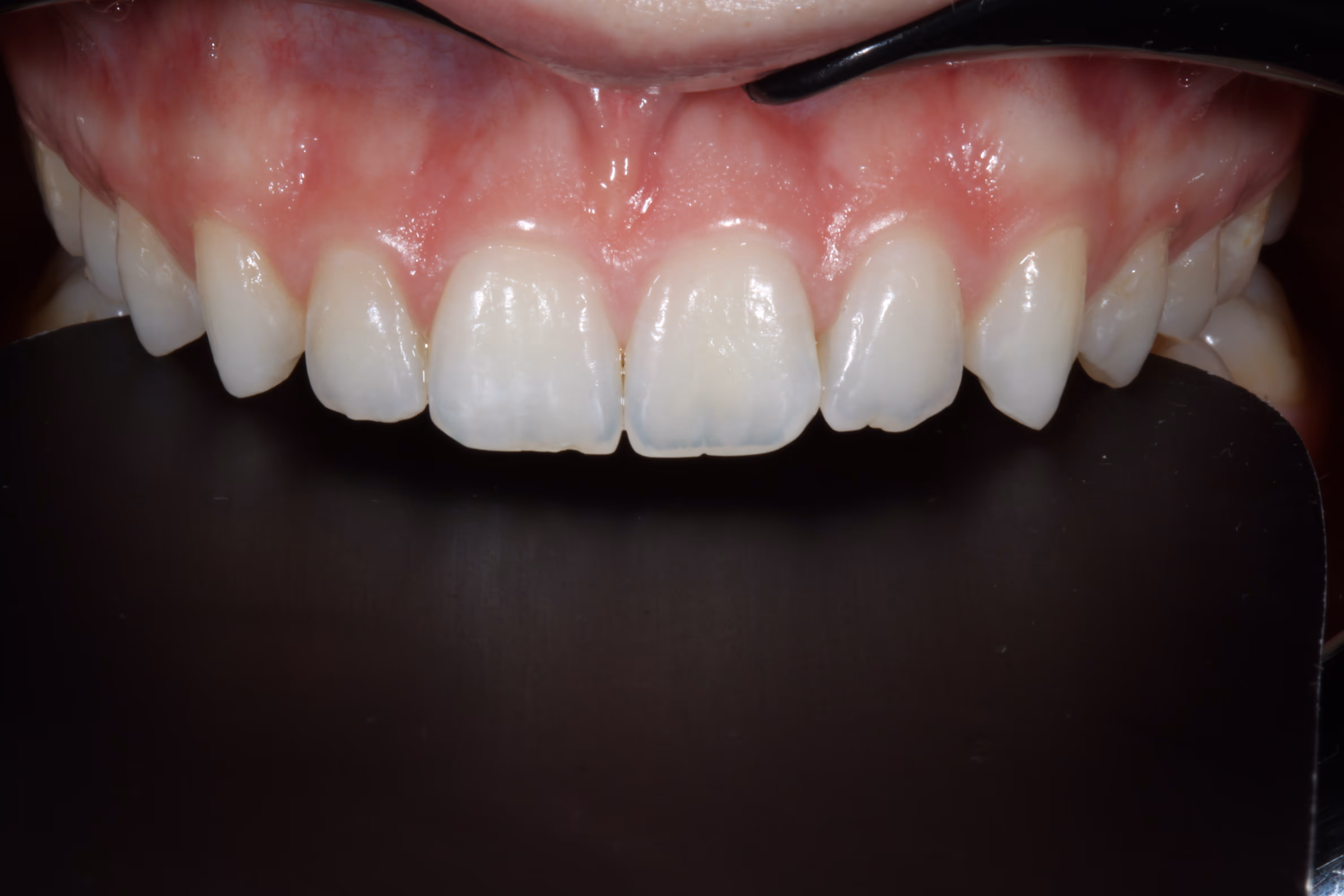
Überprüfung der Zufriedenheit der Patientin mit ihrem neuen Lächeln.
Eine komplette Produktbeschreibung entnehmen Sie bitte der Gebrauchsanweisung (IFU). Ergebnisse können abweichen.
Von der Praxisgründung bis zur sicheren Übergabe – GERL. Consult unterstützt Sie mit fundiertem Branchen-Wissen und berät basierend auf modernen Analyse-Tools. Gemeinsam gestalten wir Ihren Weg zum Erfolg.
Kurse, Webinare oder Fortbildungsreisen – die GERL. Akademie eröffnet Ihnen zahlreiche Möglichkeiten zur Weiterbildung. Lernen Sie praxisnah und entdecken Sie neue Horizonte!
Alles für Ihre Praxis aus einer Hand! Entdecken Sie unsere große Auswahl an Produkten und Lösungen für Ihre Praxis oder Ihr Labor. Von Verbrauchsmaterialien bis zu Hightech-Geräten – in unserem Shop finden Sie alles, was Sie benötigen.
Nachhaltigkeit, soziale Verantwortung und Fortschritt: Bei GERL. gestalten wir die Zukunft bewusst und übernehmen Verantwortung für kommende Generationen.
Von der ersten Idee bis zur Umsetzung mit umfassender Projektbetreuung – GERL. Bauart plant mit Ihnen Ihre moderne Praxis oder Ihr Labor der Zukunft. Design, Ästhetik und Funktionalität perfekt vereint!