Dr. Adam Hodges ist ein Absolvent des Medical College of Georgia aus dem Jahr 2000. Er absolvierte seine Fachzahnarztausbildung am Palmetto Richland Memorial Hospital mit Schwerpunkt auf chirurgischer und kosmetischer Zahnmedizin. Seit 20 Jahren betreibt er zusammen mit seinem Bruder die Praxis Hodges and Hodges Comprehensive Dental Medicine in Asheville, NC, an der früher auch sein Vater beteiligt war. Er schloss erfolgreich Weiterbildungen am Pankey Institute, Spear Center und LSU cosmetic continuum ab.
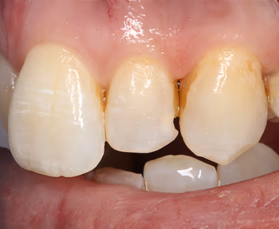
In der Zahnheilkunde wird mit dem Begriff Chamäleon-Effekt der Versuch beschrieben, die natürliche Farbe von Zähnen präzise nachzuahmen. Idealerweise lässt sich dieser Effekt mit möglichst wenigen Komposit-Massen erzielen. Das erleichtert den Arbeitsalltag erheblich. Im folgenden Fallbeispiel verwendete ich 3M™ Filtek™ Easy Match Universal Komposit in einem einzigen Farbton in Kombination mit 3M™ Scotchbond™ Universal Adhäsiv, um mehrere Klasse III-Kavitäten unterschiedlicher Größe zu restaurieren. Das Ergebnis ist erstaunlich: Das Material stimmt farblich hervorragend mit der Zahnhartsubstanz überein und fügt sich selbst im Durchlicht harmonisch in das Gesamtbild ein. Ich war selbst begeistert von den Ergebnissen sowie der Einfachheit der Farbauswahl.






3M™ Filtek™ Easy Match Universal Komposit (https://www.3mdeutschland.de/3M/de_DE/p/d/b5005524000/)
3M™ Scotchbond™ Universal Plus Adhäsiv (https://www.3mdeutschland.de/3M/de_DE/p/d/b5005223013/)
Eine komplette Produktbeschreibung entnehmen Sie bitte der Gebrauchsanweisung (IFU). Ergebnisse können abweichen.